Question 1: What is the sign in figure 1 called?
Question 2: What is the sign in figure 2 called?
Question 3: According to new diagnostic criteria for this condition, if both these signs are positive in a child, how many "System Score" points does the child get?
Link to the answer
Saturday, March 31, 2012
Saturday, March 24, 2012
Quiz #9: Where is the tip of the PA line?
This patient returned from operating room 20 minutes ago. He has a pulmonary artery line. What is the location of the PA line tip based on the CXR and the PA pressure trace?
Clue: PA line pressure trace holds the answer. CXR helps to corroborate.
(To see a larger image, click on the image)
Link to answer


Clue: PA line pressure trace holds the answer. CXR helps to corroborate.
(To see a larger image, click on the image)
Link to answer

Saturday, March 17, 2012
Saturday, March 10, 2012
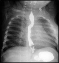
Quiz #7: Barium Swallow study
Question 1: Describe the finding in PA view.
Question 2: Describe the finding in Lateral view.
Question 3: What is the diagnosis?
Link to the answer


Question 2: Describe the finding in Lateral view.
Question 3: What is the diagnosis?
Link to the answer


Monday, March 5, 2012
Quiz #6: Barium Swallow Study
Esophagogram:
1) Describe the finding.
2) What is the diagnosis?
Additional "bonus" questions:
3) What tracheal anomaly is associated with this condition?
4) What is the common cardiac defect associated with this condition?
Link to the answer
1) Describe the finding.
2) What is the diagnosis?
Additional "bonus" questions:
3) What tracheal anomaly is associated with this condition?
4) What is the common cardiac defect associated with this condition?
Link to the answer
Subscribe to:
Comments (Atom)
